What Is a Space Maintainer and Why Might Your Child Need One?

When a child loses a baby tooth, it usually feels like a normal part of growing up. In many cases, it is. But when a baby tooth is lost too early due to decay, infection, or injury, it can create problems for the developing smile.

At Glow Dental, space maintainers are an important part of both our pediatric and orthodontic approach to care. They are small appliances that help guide proper dental development and reduce the risk of future alignment issues.

Here is what parents should know.

Why Baby Teeth Matter More Than You Think

Baby teeth, also called primary teeth, do more than help children chew and speak clearly. They serve as natural placeholders for permanent teeth.

Each primary tooth holds space in the jaw for the adult tooth developing underneath it. When a baby tooth is lost at the right time, the permanent tooth is usually ready to erupt into that space.

However, if a baby tooth is lost too early, neighboring teeth can begin to shift into the empty area. This movement can block or crowd the permanent tooth, increasing the likelihood of alignment problems later on.

This is where a space maintainer comes in.

What Is a Space Maintainer?

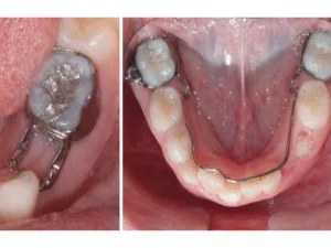
A space maintainer is a small dental appliance designed to hold open the gap left by a prematurely lost baby tooth. It keeps nearby teeth from drifting into the space, allowing the permanent tooth to erupt in the correct position.

Space maintainers are commonly used in pediatric dentistry, but they also play a key role in orthodontic planning. Preserving space early can reduce the need for more complex orthodontic treatment in the future.

Types of Space Maintainers

The type of space maintainer recommended depends on the location of the missing tooth and your child’s stage of development.

Fixed Space Maintainers

These are cemented in place and cannot be removed by the child. They often consist of a small metal band attached to one tooth with a wire that extends into the space.

Fixed maintainers are commonly used when:

  • A back baby tooth is lost early
  • The child is young and may not reliably wear a removable appliance
  • Long-term space preservation is needed until the permanent tooth erupts

Because they remain in place, they provide continuous support in maintaining the space.

Removable Space Maintainers

In some cases, a removable appliance similar to a retainer may be recommended. These are less common for younger children but may be appropriate in certain situations.

Your dentist will determine which option best supports your child’s development.

How Long Does a Space Maintainer Stay In?

A space maintainer typically remains in place until the permanent tooth is ready to erupt. This timing varies depending on your child’s age and which tooth was lost.

During regular dental visits, we monitor growth and take digital X-rays when appropriate to track the development of permanent teeth. Once the adult tooth begins to emerge, the appliance can be removed.

The Connection Between Pediatric Dentistry and Orthodontics

Space maintainers are a perfect example of how pediatric dentistry and orthodontics work together.

From a pediatric perspective, the goal is to protect healthy development and prevent avoidable complications.

From an orthodontic perspective, maintaining proper spacing supports better alignment and can:

  • Reduce crowding
  • Lower the risk of impacted teeth
  • Simplify and, in some cases, shorten future orthodontic treatment

Early intervention does not always eliminate the need for braces, but it often makes future treatment more predictable.

Caring for a Space Maintainer

Children with a space maintainer should continue brushing carefully around the appliance. Good oral hygiene is essential to prevent plaque buildup around the banded tooth.

We also recommend:

  • Avoiding sticky or chewy foods that could loosen the appliance
  • Attending regular dental checkups
  • Report if the appliance feels loose or uncomfortable

Most children adjust quickly and do not experience significant discomfort.

When Should You Ask About a Space Maintainer?

If your child has lost a baby tooth earlier than expected, it is important to have the area evaluated. Not every early tooth loss requires a space maintainer, but an exam is necessary to determine the risk of shifting.

At Glow Dental in Freeport, NY, we take a proactive approach to growing smiles. Our team evaluates each child individually, considering both current oral health and long-term development.

If you have questions about space maintainers or your child has recently lost a baby tooth, scheduling an evaluation is the best next step. Protecting space today can make a meaningful difference in your child’s smile tomorrow.